Qué es un Líquido Definición de Líquido

El líquido crevicular se produce en pequeñas cantidades en el surco gingival y contiene proteínas plasmáticas, inmunoglobulinas, lisozima, proteasas, colagenasas e inmunidad celular que ejercen actividad antimicrobiana e inmunológica. La interleucina 17 desempeña un rol importante en la patogénesis de la periodontitis debido a su naturaleza proinflamatoria y capacidad para producir.
El papel del líquido crevicular gingival en la periodoncia Una herramienta de diagnóstico

Asociación entre niveles de TNF- en fluido crevicular gingival de dientes con periodontitis apical asintomática Levels of TNF- increase in gingival crevicular fluid of teeth with
PPT Liquido extracelular El medio interno y Homeostasis PowerPoint Presentation ID2293494

El artículo que se presenta en esta página web analiza el papel de la pectina en la prevención y el tratamiento de la diabetes mellitus tipo 2. La pectina es un polisacárido que se encuentra en la pared celular de las plantas y que tiene propiedades hipoglucemiantes, hipolipemiantes y prebióticas. El artículo revisa los mecanismos moleculares y fisiológicos que explican estos efectos y.
¿Qué es un líquido? Definición y ejemplos El Gen Curioso

Fluido crevicular gingival: ¿qué utilidad tiene en el diagnóstico periodontal? Diagnóstico periodontal. Tradicionalmente, la identificación de las enfermedades periodontales se basa en un examen clínico y radiográfico de los tejidos del periodonto.
Líquido crevicular gingival YouTube

El fluido crevicular gingival (FCG) es una mezcla compleja de sustancias derivadas del suero, leucocitos, células del periodonto y bacterias orales, que desempeña un papel clave en el mantenimiento de la estructura del epitelio de unión y en la defensa antimicrobiana del periodonto. ¿Qué es el líquido crevicular?
LIQUIDO SINOVIAL
Los biomarcadores son moléculas que pueden ser medidas objetivamente y evaluadas como indicadores de procesos biológicos normales, procesos patológicos o respuestas farmacológicas a la intervención terapéutica. En el fluido gingival crevicular se han estudiado biomarcadores como proteínas del huésped que incluyen enzimas, inmunoglobulinas, interleuquinas, citoquinas, quimioquinas y.
Trastornos pleurales Pleuresía, derrame pleural y neumotórax NHLBI, NIH

KIRU.2021. Oct-Dic; 17(4): 223-229 Ph salival y crevicular como método de diagnóstico de la enfermedad periodontal 225# Esta función es importante ya que regula las
Organigrama Mind Map

Rev Mex Periodontol 2014; V (2): 46-50 47 Ruíz-Gutiérrez AC y cols. Determinación de niveles IL-17 en líquido crevicular gingival de pacientes con periodontitis www.medigraphic.org.mx y Aggregatibacter actinomycetemcomitans, entre otras.2 La periodontitis crónica (PC) y la periodon- titis agresiva (PA) se caracterizan por inflamación
Liquido pleural y ascitico

El líquido crevicular gingival puede desempeñar un papel clave en esto, al crear una suspensión de líquido que puede soportar colonias bacterianas en la boca, incluidas colonias de anaerobios que normalmente no prosperarían en este entorno debido a los niveles de oxígeno . Anuncios. Las personas que tienen diabetes deben practicar una.
Las siete funciones vitales del líquido cefalorraquídeo Neurocirugía de la Torre

RESUMEN: El objetivo de este trabajo fue establecer la asociación entre la profundidad de bolsa periodontal y la presencia de Candida albicans en el fluido crevicular de sujetos adultos con salud gingival y periodontitis, recibidos en el área de la Maestría en Periodoncia de un Centro Odontológico.
Dentistry Journal Free FullText Human Gingival Crevicular Fluids (GCF) Proteomics An

Métodos: Se realizó una revisión de la literatura disponible a través de la búsqueda automatizada en las bases de datos: PubMed, Scielo y Google Académico, en el período de enero - junio de 2020.
Circulación del Líquido Cefalorraquídeo (LCR) YouTube

Faria R, Belén A, Bascones A. Nuevos métodos de diagnóstico en Periodoncia. Métodos bioquímicos. Av Periodon Implantol. 2001; 13, 1: 29-37. RESUMEN. Los métodos de diagnóstico tradicionales no son suficientemente fiables y solo nos permiten un diagnóstico retrospectivo sobre la pérdida del nivel de inserción. Luego, con el objetivo de.
Correlación entre la profundidad de sondaje de la bolsa y el recuento de neutrófilos en la placa

Gingival crevicular fluid (GCF) is an inflammatory exudate derived from the periodontal tissues. It is composed of serum and locally generated materials such as tissue breakdown products, inflammatory mediators, and antibodies directed against dental plaque bacteria. Its constituents are derived from a number of sources, including serum, the.
Liquido Pericardico Hot Sex Picture

El fluido crevicular, exudado inflamatorio que se encuentra en el surco gingival, lo integran distintos constituyentes derivados de la placa microbiológica, células inflamatorias y tejido del hospedador que son marcadores diagnósticos de la destrucción de los tejidos en la enfermedad periodontal. El objetivo de esta revisión es describir las modificaciones que sufre el fluido crevicular.
LÍQUIDO SINOVIAL Qué es, dónde se sitúa, componentes, función y lesiones YouTube

El líquido crevicular gingival es un exudado secretado por las encías que se puede encontrar en las grietas ubicadas en el punto donde la línea de las encías se encuentra con los dientes.
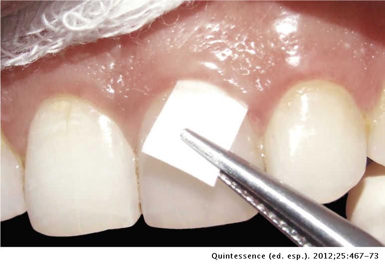
Collection of crevicular fluid in a patient affected by periodontitis Download Scientific Diagram

ODOVTOS-International Journal of Dental Sciences González & Rivera: Biomarcadores en el fluido gingival crevicular: Revisión de literatura González & Rivera: Biomarcadores en el fluido gingival crevicular: Revisión de literatura
.