Manchas blancas en los dientes de los niños Clínica dental de niños y adultos en Madrid

La "Enfermedad de los Dientes que los Pone Negros" es un término que se utiliza para describir un fenómeno en el que los dientes de una persona comienzan a oscurecerse o mancharse de manera inusual.Esta afección dental, también conocida como "dientes negros", puede ser preocupante tanto desde el punto de vista estético como de la salud bucal.
Sarro Negro Causas, Síntomas y Tratamiento para eliminarlo

Motivos por los que aparecen dientes negros. Pueden haber varias causas que provocan este cambio en tu salud dental, pero las más frecuentes pueden ser: Caries o una infección no tratada. Una tinción por algún alimento o bebida que se haya ingerido. Recuerda que el color de los dientes viene dado por el calcio que tenemos en el cuerpo.
ENDODONCIA ¿ Por qué se oscurecen los dientes luego de una endodoncia ? Como Solucionarlo
1. Causas de la enfermedad de los dientes que los pone negros. La enfermedad dental que causa el oscurecimiento de los dientes puede ser atribuida a diferentes factores. Una de las causas más comunes es el consumo excesivo de bebidas y alimentos que contienen sustancias que manchan los dientes, como el café, el té y el vino tinto.
¡EL SARRO DENTAL NEGRO! ¿QUE SIGNIFICA EL COLOR DEL CALCULO DENTAL Y COMO QUITARLO DE LOS

La periodontitis es común, pero, por lo general, se puede prevenir. Suele ser el resultado de no cuidar de la boca ni de los dientes. Para ayudar a prevenir la periodontitis o aumentar las probabilidades de que el tratamiento sea exitoso, cepíllate los dientes por lo menos dos veces al día, usa hilo dental a diario y asiste con regularidad a controles dentales.
Extraña enfermedad acaba con los dientes El Sol del Centro Noticias Locales, Policiacas
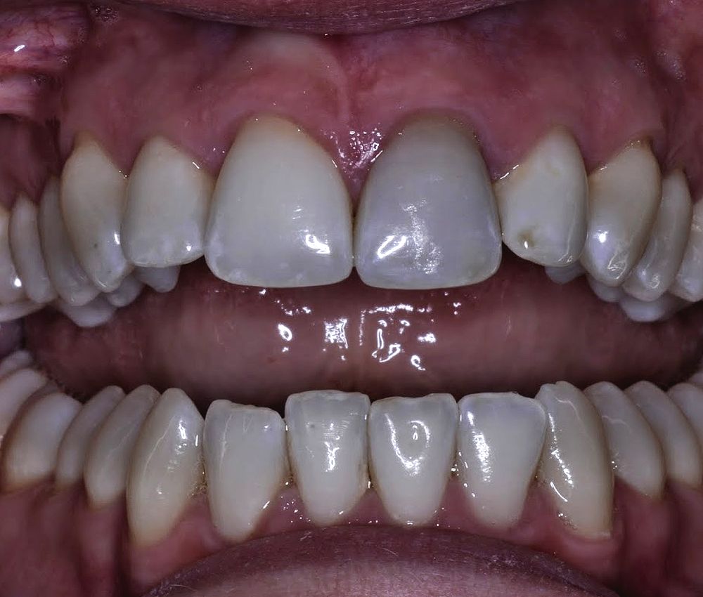
Si en vez de un oscurecimiento total, detectamos más bien algunas manchas, podría deberse al consumo habitual de alimentos que tiñen los dientes, como el café, el té, el vino tinto o el tabaco. Una buena higiene dental y los blanqueamientos odontológicos rutinarios son la solución para recuperar el color natural de los dientes.
Qué causa el sarro en los dientes y cómo evitarlo Clínica Dental Urbina

Estas zonas con caries dentarias se convierten en pequeñas aberturas o agujeros que pueden derivar en dolor intenso en los dientes, infecciones y pérdida de dientes. Existen varias causas de las caries, como bacterias en la boca, el picoteo de refrigerios a cada rato, el consumo frecuente de bebidas azucaradas y la falta de buena higiene dental.
¿Por qué el sarro se vuelve negro? Tratamiento y prevención Mejor con Salud

Algunas manchas en los dientes se pueden eliminar con una limpieza dental profesional. Por ejemplo, las manchas causadas por el café. Sin embargo, hay manchas que son permanentes. En ocasiones, se pueden blanquear los dientes con un gel blanqueador. En algunos casos, si las manchas son graves, se requiere de la colocación de una corona o.
¿Porque mi diente se puso negro?

1. Caries dental: La caries es una enfermedad dental común que puede provocar la descomposición del esmalte dental y la formación de cavidades. Cuando la caries no se trata a tiempo, puede provocar la muerte del tejido dental, lo que resulta en un color negro o marrón oscuro en el diente afectado. 2.
¿Por qué tengo un diente negro? Salud180

Existen varias causas que pueden provocar que la raíz de los dientes se vea negra, entre ellas se encuentran: el envejecimiento, la acumulación de placa bacteriana, el consumo excesivo de café, té o vino tinto y el uso de ciertos medicamentos. Es importante mencionar que algunas enfermedades dentales también pueden ser los responsables de.
Manchas Negras en los Dientes Clínica Trei

Los dientes negros en niños pueden ser el resultado de causas distintas y cada una de las cuales requiere una evaluación cuidadosa para determinar el tratamiento adecuado. A continuación, mostramos las posibles razones detrás de este fenómeno: Caries dental: La caries es una de las principales causas de los dientes negros en niños.Cuando los hábitos de higiene oral son insuficientes y.
Métodos para eliminar las manchas negras de los dientes

Es probable que sea sarro negro, también llamado cálculo. El sarro puede contener bacterias, dificultar la limpieza de los dientes y las encías, acarrear enfermedades de las encías y otros problemas de salud bucal más graves. Por fortuna, un profesional dental puede eliminar el sarro negro de tus dientes y ayudarte a recuperar la salud bucal.
Los triángulos negros son unos espacios entre los dientes que aparecen como consecuencia de la

Bienvenidos a este artículo sobre una enfermedad dental que ha sido motivo de preocupación para muchas personas: la enfermedad de los dientes que los pone negro. Esta afección, también conocida como necrosis pulpar, es una condición dental que puede ser causada por varios factores, como caries no tratadas, trauma dental o incluso una mala higiene bucal. En este artículo, vamos a explorar.
Dientes picados síntomas y tratamiento Colgate®

Tratamiento de los dientes negros u oscuros. Para cada causa existe una solución. En el caso de los traumatismos, el tratamiento para el diente oscuro se basará en una endodoncia y un posterior blanqueamiento dental. Habrá que ver si la raíz está afectada, ya que si existe una fractura o fisura radicular no habrá más remedio que extraer.
Síntesis de 18 artículos como quitar el sarro negro de los dientes [actualizado recientemente

Dientes negros en adultos. Las causas de los dientes negros se pueden atribuir a una serie de factores. A menudo es causada por la erosión dental, el tabaquismo, el consumo de té y café. Hay una variedad de alimentos que pueden decolorar los dientes, incluso ciertos cosméticos. La erosión dental es un proceso que desgasta la superficie del.
manchas en los dientes Clinica Dental Larrañaga

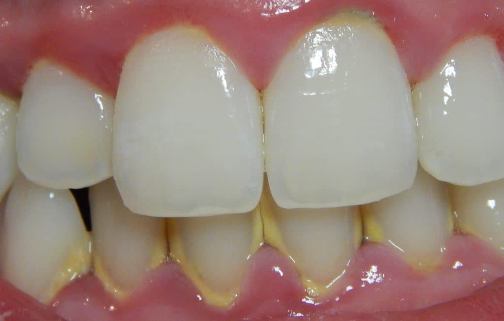
Causas de los dientes negros. Los dientes negros suelen aparecer por diversa razones. Una de las más comunes es la formación de sarro o cálculos en el interior del diente, que le da un tono amarillento a la superficie del mismo. Estos cálculos pueden desprenderse, causando un diente con color negro oscuro. Según van pasando los años, el.
Manchas en los dientes ¿por qué aparecen y cómo eliminarlas? Mejor con Salud

Estos factores aumentan el riesgo de desarrollar bruxismo: Estrés. El aumento de la ansiedad o el estrés pueden provocar el rechinamiento de los dientes. También la ira y la frustración. Edad. El bruxismo es frecuente en los niños pequeños, pero suele desparecer en la edad adulta. Tipo de personalidad.
.